2016年05月30日:幻想美術選「バベルの塔」ピーテル・ブリューゲル(父)
2016年05月31日:茶番劇と深刻な話と..
2016年06月01日:頭部MRI(ほぼ)異常無し
2016年06月02日:病院ハシゴ [;^.^]
2016年06月03日:不明男児、救出!
2016年06月04日:自転車の整備完了と自動車の点検
2016年06月05日:ショッカー基地!
目次へ戻る
先週へ
次週へ
2016年05月30日:幻想美術選「バベルの塔」ピーテル・ブリューゲル(父)(前回の幕切れ↓)
..それにしても、前回も今回も「大建築」もの。別に、「奇想画」=「大建築幻想」というわけではないのだが..しかしこの流れでは、「究極の大建築」をお見せしないわけにも行くまい..(← まさかの「引き」? [;^.^])
..というわけで、第14回で取りあげるのは、当然、コレ↓である。[;^J^]

..いったい、この私にどうしろと?[;_ _]
..何を書け(言え)と?[;_ _]
..これ、人類史上で一番有名な絵のひとつだぜ?..[;_ _][;_ _][;_ _](..なんとなくタイミングを外してしまったが、これまでのラインナップ [;^J^] →「幻想美術選」)
解説も解釈も、ちょいとぐぐるだけで死ぬほどヒットする作品なので、こういう場合はもう、私なりの妄言やら思いつきやらを書き並べるのみ。(その方が、まだ、他の人の文章と被らない、すなわち、いくばくかの情報量を持つ可能性があるからである..もちろん、何を書いても、結局、既にそれを思いついたり書いたりしている人は、いるであろうが..(だから、こういう場合は、絶対にぐぐらない。何も書けなくなってしまうからである。))
そうだな、意表をついて、まずは軽く(恐れ知らずにも [;^J^])ディスっておこうかしら [;^.^]。この作品、ジャンルとしては、やはり「世界風景」に位置づけられることが多い。「世界風景」とは、「俯瞰的視点をとって、間近にある物から世界の果てまでの全てを描き出す、地上の人間の営みが宇宙論的なスケールの「風景」のなかに位置づけられる想像画(幻想絵画)」のことなのだが..
..その観点で観てみると、多少の物足りなさがなくもないのだ。この巨大な塔を取り囲む都市も、城壁の外側に広がる農村地帯も、そのさらに向こう側の海や山も、描かれてはいる。しかし、そこにほとんど人間がいない。「地上の人間のさまざまな営みが描き尽くされている」とは、言い難いのだ。それはもちろん、観る者の視線をこの「塔」に集中させるためのテクニックであり、かつ、この「塔」の「上」では、実にさまざまな「人間の営み」が繰り広げられているのだから、「塔」の「下(あるいは外側)」の描写が「世界風景」としては物足りない、とは、ないものねだりもいいところであるが..ここは正直な感想(子どもの頃から思っていたこと)を書かせていただいた。[_ _]
とはいえしかし、他の画家の作品に比べて、やはり、完全に別格である! この、圧倒的な量感! そして、フォルムの美しさ! この量感を表現するためにこそ、塔の「外側」の空間(世界)が相対的に小さくなっているのだから、上のパラグラフで書いたことは、まさに「ないものねだり」なんだよなぁ..この塔の中に入って、いつまでも彷徨っていたいものであるが..
..そんな漫画が、あるのである!(厳密に言えば、「漫画」ではなく「バンドデシネ(雑に言えば、フランスの漫画)」。)「闇の国々」(ブノワ・ペータース (著)、フランソワ・スクイテン (イラスト)、古永真一、原正人 (翻訳) 、小学館集英社プロダクション)の第1巻に、「塔」というエピソードが収録されている。巨大な建造物(塔)の基部で(徐々に劣化/崩壊しつつある)構造物の補修にあたっている「修復士」が、塔の頂上を目指して登ってゆく、という物語なのだが..ビジュアルと世界観は、まさに、この「バベルの塔」+「牢獄」(ピラネージ)という、「幻想者(もの)」垂涎の物語! もしもあなたが「こちら側の人間」[^.^] ならば、このバンドデシネのシリーズ、日本語版で全4巻をそろえると15600円もかかってしまうが、このエピソードが収録されている第1巻(4000円)だけは、購入して書架に備え付けておくことを強くお薦めしたい! ..しかし、バンドデシネを「読みづらい」と感じる日本人は、少なくない..というか、多数派だろう。日本のマンガとは、文法もスピード感も異なるからである。4000円もするのだから、「騙されたと思って買え!」とも、言いづらい。どこかの図書館で試し読みできればいいのだが..(以上、価格は全て税抜き価格。)
それにしても、極力キープしておくつもりだったピーテル・ブリューゲル(父)をこの段階で出してしまった以上、次回は「彼」を出さないわけには..(まさかの、2回連続の引き? [;^.^])
目次へ戻る
2016年05月31日:茶番劇と深刻な話と..野党が内閣不信任案を提出し、当然、否決。
茶番劇。
いったい何がしたかったの? 貴重極まりない時間を無駄にして? 「仕事してますよ」アピール?
..まぁ、こんなのは、ほっといて。
北海道での男児置き去り→行方不明事件。悪い結果はいくらでも予想できてしまう(既に獣に襲われている、既に沢や穴に転落している、既に飢えや寒さで体力が尽きている)状況なのだが..経緯がどうも不自然である。だからこそ、ネット(やテレビやその他のあらゆる媒体)で、憶測が乱れ飛んでいるのだろうが..
一番、イヤな「憶測」は、「父親が殺めた(あるいは、なんらかの事故で死んだ子どもを、遺棄した(隠した))」というものである。もちろん、何の証拠もない。彼が「落ち着きすぎている(ように見える)」のが、唯一最大の「状況証拠」と言えば言えるが..しかし、そんなことで、これほどの嫌疑をかけられてもな..
なによりも、この「殺人説」がおかしいと思うのは、これでは父親が、まったく「得をしない」ことである。日本全国に顔と名前を憶えられたのである。(以下、イヤな仮定のもとに話を進めるが、ご容赦ください..[_ _])仮に彼が殺して遺棄したとして、このあとの結果(成り行き)は、ふたつしかありえない。「死体が発見される」か「発見されずに迷宮入りになる」かである。前者の場合、優秀な日本警察によって、必ずや「犯行」が暴かれるであろう。後者の場合、考えようによっては、前者よりも悪い未来が待っている。「嫌疑が永久に晴れない」からである。仕事を失う可能性もある..
なんにせよ、時間が経ちすぎているのが、気がかりである..
目次へ戻る
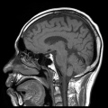
2016年06月01日:頭部MRI(ほぼ)異常無し..もうそろそろ5日目。生きてはいないだろう..[_ _](もしも、本当にそこにいた(いる)のならば。)
頭部MRI検査の結果が届いた。所見は、ほぼ全項目問題なしなのだが、唯一「脳出血」の項に、「大きさが数ミリ程度の小さな脳出血(微小脳出血)のアトがあります。あまり神経質になる必要はありませんが、油断してもいけません。高血圧や糖尿病などの持病がある場合はしっかりとなおしましょう」..いつの間に [;_ _]。まぁ、ここらあたりが私の死因になるのかなぁ..(血筋だしなぁ..)
もちろん、写真をお見せする。キモいグロい見たくないと言われても、掲載する [^J^]。エンタメ視点から、できるだけ見応えのあるモノを選んだので、ご堪能ください。[^.^](こういうの、遺影に使ったら、顰蹙ものかしら? [;^J^])
今月11日(土)から12日(日)まで、急遽、奈良にトリップすることにした。楽天で駅前のホテルを予約。
目次へ戻る
2016年06月02日:病院ハシゴ [;^.^]快晴。午後半休。
まず、松田病院で、大腸ファイバー検査の予約。6月28日(火)に決めた。(できるだけ早いタイミングとなると、ほかに手頃な日取りがなかった。)基本的に日帰りだが、もしもポリープが発見されて切除に及んだ場合、入院となる。そのケースに備えて、「入院申込書」を用意しなくてはならない。私は独身なので、連帯保証書に、実家の母の署名と捺印が必要である。面倒だなぁ..[;_ _](今月中に、1回、帰省する予定なので、そのときに書類を持参するか..)
引き続き、月いちで診てもらっている大坂内科医院へ。人間ドックの結果を提出。(再検査を命じられてはいないが)γGTPと尿酸値がまた上昇傾向にあるので、来月の検診時に、血液検査 [_ _] ..さて、シャブ抜きだ(平日は。[;^.^])
目次へ戻る
2016年06月03日:不明男児、救出!まさかのニュース。北海道で置き去りにされ行方不明になった少年が、今朝7:50頃、28日17時以来、実に6日ぶりに、無事発見(救出)されたとのこと。
あなたがこの日記を読む頃には、既に大ニュースとしてさんざん報道されているだろうから、今日の時点での報道へのリンクや引用は、いっさい省略。かいつまんで言えば、大捜索の対象外であった自衛隊演習場内の施設で、じっとしていたのである。
置き去りにされた場所からここまで、自衛隊員の足でも2時間半はかかるという。7歳の足では、4時間近くか、あるいはそれ以上? とにかく、幸運と好判断の積み重ね以外の何物でもない。幸運というのは、いささか遠いにしても、とにかく歩いていける範囲に「風雨をしのげる場所があった」ということと、地図があったわけでもないのに、「そこに辿りつけた」ということ、そして、「鍵がかかっていなかった」ということ。中には体温を保全できるマットレスがあり、水も飲めた(水道が生きていた)。確率は低かったかも知れないが、危険な野獣に遭遇しなかったのも、僥倖である。好判断というのは、「そこから動かなかった」ことに尽きる。
その一方で、食料がなく、暖房も効かなかったのは、きつかった。後者はともかく、前者は、約6日間という発見の遅れを考えると、ほとんど致命的である。あと少し時間がたっていたら、手遅れになっていた可能性は、極めて高い。その意味でも、おそろしく幸運ではあった。
例によって、ネットには、発見/救出を喜びつつも、父の車が走り去っていったのとは全く違う方向に進んだことについて、「ここまで親子の信頼関係が壊れていたんだね(もはや、修復は不可能だね)..」という、高みの見物(面白半分)の、不愉快極まりない書き込みがうじゃうじゃと。
しかし、これは、見当違いもいいところである。「私の経験」からも、そう断言できる。
私も、小学生時分に「置き去り」ではないが「締め出し」をされたことがある。夜、アパートの外に。暴力をふるったりモノを壊したりする子ではなかったので、まぁ、宿題もせずに本か漫画を読んでいたのが原因であろうが..親父に、「出ていけっ!」、と、一喝されて。
私は、夜の町に出た。そこで、何をしたか。「あてどなく、歩き始めた」のである。どういうつもりだったのかは、わからない。(なにしろ、半世紀も昔のことなのだ。[;^J^])夜の町をひとりで歩くことに、ちょっとワクワクしたのかも知れないが..単に、「何も考えていなかった」というのが、実際のところだろう。馬鹿な子ではなかったので、「外に締め出されたときの、一番賢い行動」は、「動かないことだ」ということは、すぐにわかったはずだからだ。親は、いずれ必ず、迎えにくる。そのときまで、一番疲れずにすむのは、玄関のすぐ外か、あるいはアパートの出口に、座り込んで待っていることである..
..しかるに、私は歩き始めた。本当に、なんのあてもなく、夜の町を、アパートから去り行く方向に..そして確か5分か10分歩いた頃、いきなり肩をつかまれた。母だった。尾行していたとは知らなかった(が、子どもの安全が何よりも大切な親としては、当然の行為である)。その場で説教されたかどうかは記憶にないが、そのまま家に連れ戻された..
..何を言いたいのかというと、これが、子どもの自然な行動ではないのか、ということである。特段の冒険心や、反抗心や、好奇心があったわけではない。強いて言えば、それら(冒険心、反抗心、好奇心)が少しずつ混ざり合って、合理的でない行動(その場に留まっていない)をする、落ち着きのない存在..それが、「子ども」だと、思うのである。
それにしても、よかった。私は、「迷宮入り(つまり、このまま「神隠し」)」の可能性が75%、なんらかの原因による死体が発見される可能性が25%、と、踏んでいた。本当に幸運だった..が、自衛隊員でも2時間半はかかる道を歩き抜いたことはともかくとしても、6日近くも何も食べずに水だけで生きていられたとは..完全に、私の想像力の限界を越えていた。
目次へ戻る
2016年06月04日:自転車の整備完了と自動車の点検快晴..かと思いきや、曇天。昼までかかって廃墟通信の(2日遅れの [;_ _])更新。
自転車のTSマーク点検整備完了連絡。約1万3千円。ブレーキワイヤーの交換には至らなかったとのこと。16:20に引き取りに行き、引き続き16:30に車で出て、日産伊場店へ。キューブの6ヶ月点検である。17:40に終わって、17:50、帰宅。
ムハマド・アリ、3日に逝去していたとのこと。享年74歳。失礼ながら、存命だったとは存じ上げていませんでした [_ _]。合掌。[_ _]
目次へ戻る
2016年06月05日:ショッカー基地!曇天。午前中、湯風景しおり。昼過ぎには帰宅。午後には晴れた。
昨夜深夜録画した「ももクロChan」(地上波第158回)をチェック。「ぶらり高城れに」というシリーズ企画の一環で、高城れにと玉井詩織がぶらぶら旅をする。今回は、東京湾唯一の無人島(といっても、誰も定住していないというだけであって、観光客は大勢いる)「猿島」である。ここで、散策したり、釣りをしたり(釣果はもちろんゼロ [;^J^])、バーベキューを楽しんだりするのであるが、その途上、ここの展望台が、仮面ライダーのロケ地である(ゲルショッカーの基地である)ことを思い出したスタッフ(おじさん [;^J^])が、しぶる2人を追い立てるように、高台への長い階段を登らせ、足早になり..
..テンションマックスで色めき立つ、おじさん世代のスタッフたち!「あ、これは..!?」「これは僕らが小さい頃に観た…」「僕らが子どもの頃に観た、あのショッカーの基地じゃない!」「玉井さん、高城さん、これは感動的な建物が!」「ゲルショッカーですよ、ゲルショッカー!」「ブラック将軍がここから出てきた!」「イー!」..
..それに対する、強行軍につき合わされた若い2人(20代はじめ)のリアクションの薄さたるや、長く保存して折に触れて観返し味わうに値するものである。[^.^]
玉井「なに?」
玉井「分かんないよ! 世代じゃないもん」
高城「自分が見たかっただけじゃん!」
玉井「分かんない」
高城「自分の趣味じゃん! 持ち込むなよ」
玉井「ビックリするぐらい、その感動、味わえないんだけど」
高城「味わえない。共有できない」
玉井「全然わかんない」
玉井「何でそんなはしゃいでいるのか」
..特に、玉井詩織の「ビックリするぐらい」が、味わい深い。[^J^](ほとんど、感動的であるとすら言える。[^.^])
置き去り少年の件。やはり、父の車のあとを追ったのだが、方向感覚を失って森の中に迷い込んだらしい..とすると、一昨日の日記に書いた私の考察は、いささか見当はずれであったということになる。[_ _]
目次へ戻る
先週へ
次週へ
解説
倉田わたるのミクロコスモスへの扉
Last Updated: Jun 9 2016
Copyright (C) 2016 倉田わたる Mail [KurataWataru@gmail.com] Home [http://www.kurata-wataru.com/]